News
-
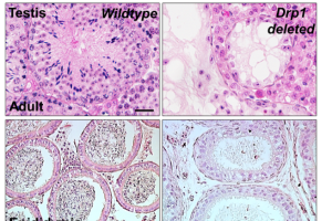
Newly published research from MSU scientist unlocks contributors to male fertility
Published on April 2, 2025
-
CANR researchers awarded NIH fellowships for light and fertility studies
Published on September 6, 2024
-
MSU Animal Science researcher provides expertise on groundbreaking discoveries
Published on August 2, 2024
-
MSU animal science doctoral student awarded NIH fellowship
Published on September 17, 2019